Protetika

Usluge
Fiksna protetika

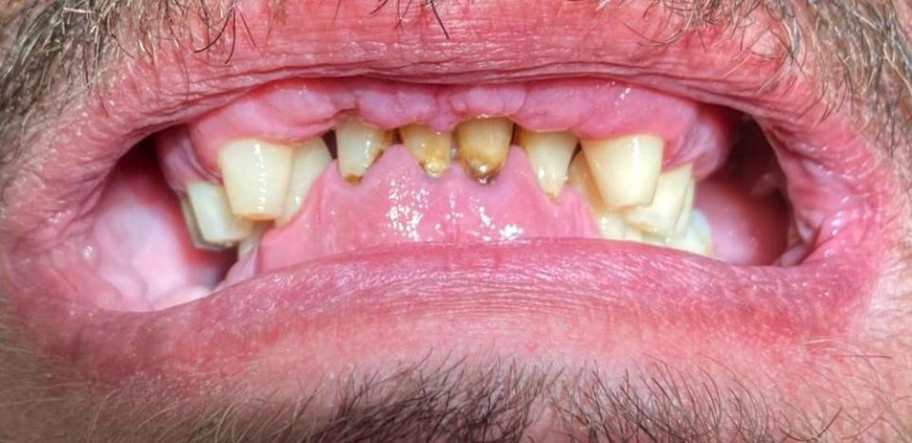
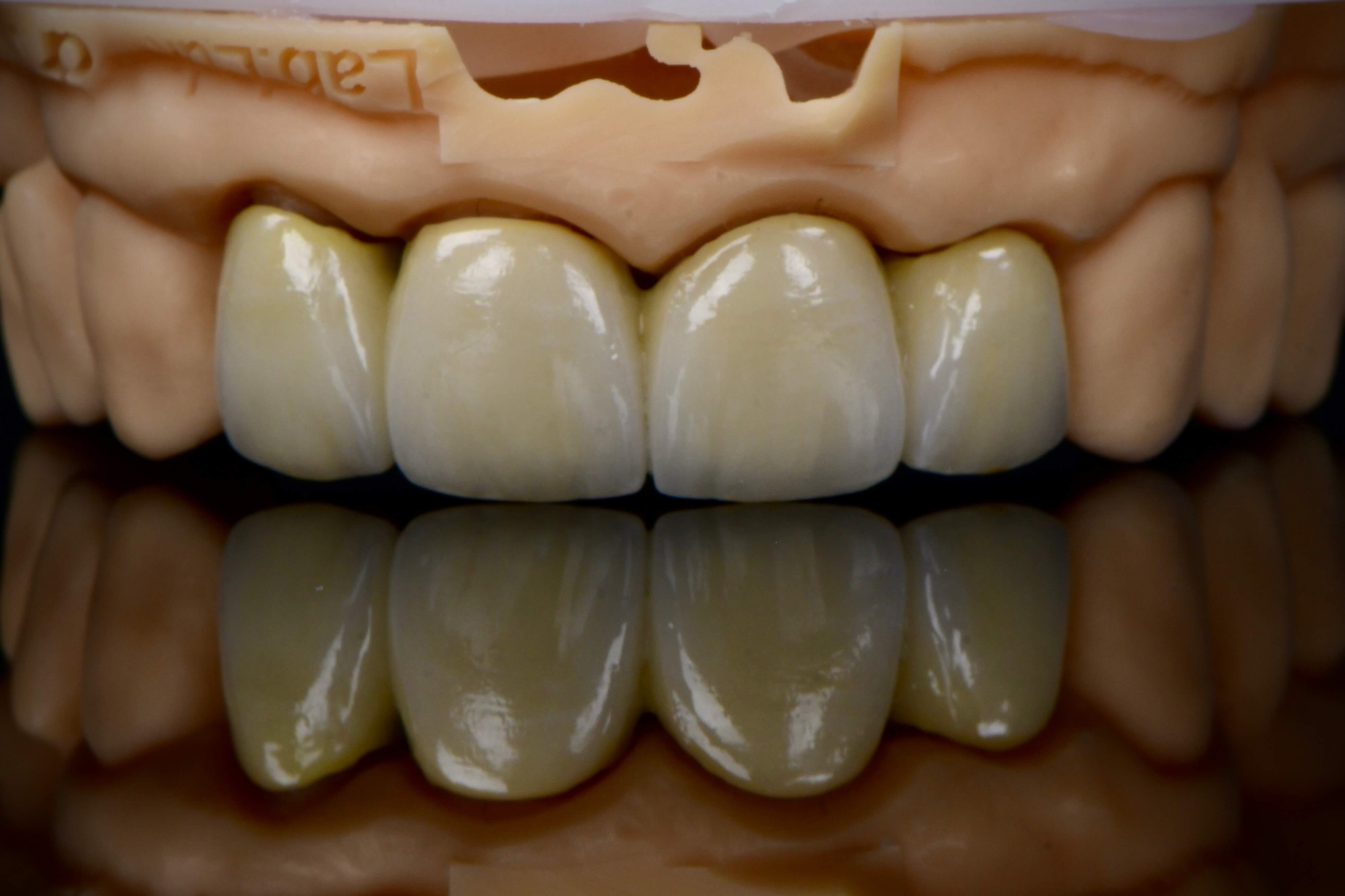
Zubne krunice (navlake) su zamjena za prirodni ili oštećeni zub. Naime, kada je većina zubne strukture uništena, keramička krunica je najbolji izbor jer najbolje nadoknađuje sve izgubljene prirodne osobine prirodnog zuba i štiti ostatak od daljnjeg propadanja.

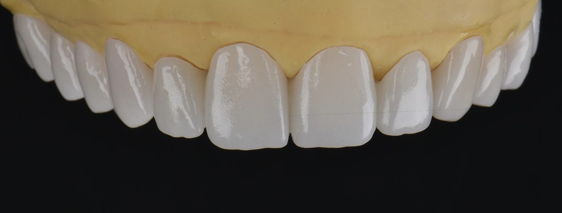
Metal keramička krunica bijela je izvana, dok je baza tamna – metalna. Nakon što se s vremenom sluznica (gingiva) može malo povući, na metal keramičkim krunama se može vidjeti tamni rub. Cirkon keramička kruna najviše imitira prirodni zub, zato što je transparentan (svjetlo prolazi kroz njega). Nakon što se s vremenom gingiva može malo povući, što je normalno, kod cirkona se ne vidi crni rub jer je kruna cijela bijela. Zbog toga se cirkon prije svega preporučuje za prednje zube gdje je važnija estetika, nego na stražnjim zubima.

Cijena krunica ovisi o materijalu od kojih one mogu biti izrađene. Cirkon keramičke krunice su skuplje zbog svoje izrade i materijala u odnosu na krunice na metalu. 

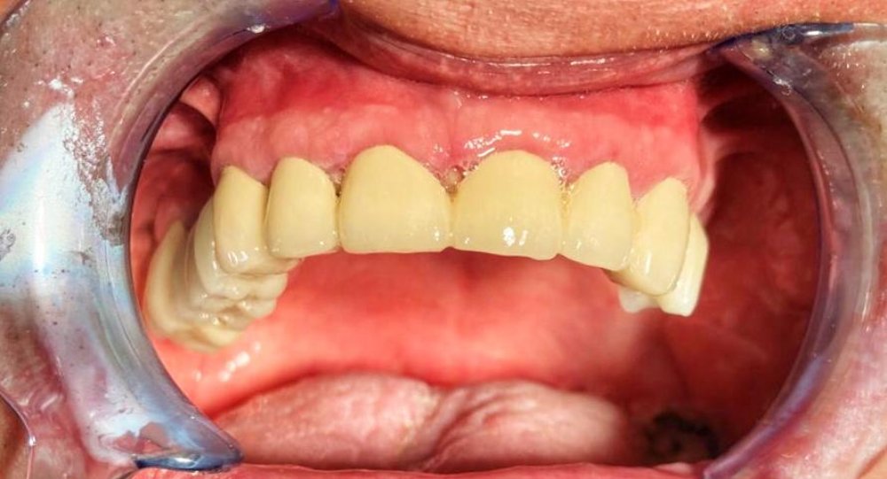
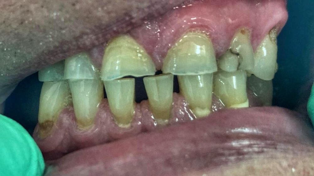
Zubni most u bloku može imati spojeno minimalno dvije krunice, ali može pokrivati i cijelu čeljust (cirkularni most ili cirkularac).

Nosači zubnog mosta su vaši prirodni zubi. Idealan kod estetskog rješenja, ako nedostaje samo mali broj zubi ili kod oštećenja zubi sa solidnim korijenom. Most je trajno zacementiran u ustima.

Vijek trajanja je teško predvidjeti jer uvelike ovisi o oralnoj higijeni pojedinca, no uz redovite stomatološke kontrole te održavanje higijene most može trajati 20-ak godina.

Mobilna protetika

Potpune proteze se koriste kod potpune bezubosti i one u cijelosti nadomještaju zubni niz. Djelomične proteze se koriste kod djelomične bezubosti i one nadomještaju isključivo one zube koji nedostaju, bez potrebe za ekstrakcijom preostalih zubi.

Djelomične proteze se koriste za nadoknađivanje više zuba u slučaju da je nemoguće izraditi most. Proteza može biti u potpunosti izrađena od akrilata, no preporuča se metalni kostur na kojega se umeće umjetno tkivo i zubi. Ova proteza se pričvršćuje kvačicama za zdrave zube.

Zubne proteze u potpunosti oponašaju izgled i funkciju prirodnih zubi. Zubne proteze se proizvode od biokompatibilnih materijala u stručnim stomatološkim laboratorijima zahvaljujući dentalnim tehničarima.

Dogovorite pregled -

rezervirajte svoj termin

Ordinacija dentalne medicine dr. Josip Orešković, OIB:52007292597

U našoj ordinaciji nudimo sve vrste stomatoloških usluga s naglaskom na individualan pristup svakom pacijentu. 

Adresa

Dr. Franje Tuđmana 13, 34000 Požega

Broj telefona

Ordinacija dentalne medicine dr. Josip Orešković
034/275-089,
+385994436484

Radno vrijeme ordinacije

Ordinacija dentalne medicine dr. Josip Orešković
pon, sri 13:00 – 20:30
uto, čet i pet 07:00 – 14:30
radne subote po dogovoru

E-mail adrese

info@oreskovic-dental.hr
oreskovic.dental@yahoo.com

© 2021 Ordinacija dentalne medicine dr. Josip Orešković

Proudly designed & developed by KALLY

Start typing and press Enter to search

Shopping Cart