Implantologija

Usluge
Implantati 

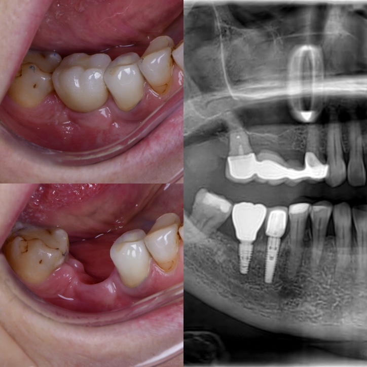
Zubni implantati su najmodernija i najprirodnija zamjena za izgubljeni zub. Nakon što je zub izvađen, implantat će poslužiti kao nadomjestak korijena prirodnog zuba. Ovaj mali „vijak“ ugrađuje se u kost gdje je prije bio prirodni zub.

Implantat se sastoji od tri dijela: kruna, suprastruktura i titanski implantat, koji se nalazi unutar kosti. Zubni implantat zamjenjuje jedan zub bez utjecaja na zdravlje susjednih zuba. Nedostatak je što su skuplje rješenje od zubnog mosta ili mobilne proteze.

Kandidati su svi punoljetni pacijenti (ne postoji gornja dobna granica) koji:

  • imaju dovoljno kosti (što se odlučuje prilikom prvog pregleda i kompletne dijagnostike)
  • fali im jedan ili više zubi
  • ne žele brusiti svoje zube za zubni most

Kao i kod trajnosti ostalih fiksnih radova, najveći utjecaj ima pacijentovo pridržavanje uputa o oralnoj higijeni.

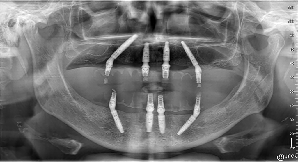
Fiksni most na implantatima (All-on-x)

Rješenje potpune bezubosti, kao alternativa mobilnoj potpunoj protezi, su fiksni zubi na 4, 5 ili 6 implantata ovisno i kvaliteti kosti i funkcijskoj potrebi pojedinog pacijenta.

Standardni pristup je postavljanje četiri implantata u gornju i četiri implantata u donju čeljust (All-on-4) te izrada privremenih zuba unutar 24 sata od zahvata koji ostaju u pacijentovim ustima 6 mjeseci do potpune oseointegracije implantata nakon čega se izrađuje trajni most.


Trajni most se sastoji od titanske konstrukcije sa cirkonskim, kompozitnim ili akrilatnim zubima, ovisno o indikaciji.
Prije samog zahvata potrebno je proći dijagnostiku koja uključuje digitalni sken čeljusti, fotografiju lica i osmijeha te rendgenski snimak.
Kao i kod svakog drugog postupka, prije ugradnje implantata, terapeut pacijentu prikaže digitalni dizajn njegovih budućih zuba (Digital Smile Design).


Uz navedenu dijagnostiku, od svakog pacijenta je potreban određeni laboratorijski nalaz kako bi utvrdili postoji li potreba za dodatnom terapijom prije samog zahvata.
Zahvat se obavlja u lokalnoj anesteziji te je potpuno bezbolan, a kod prisutnosti izražene dentalne fobije, uključuje se svjesna sedacija pod nadzorom anesteziologa.

Implantat kao rješenje za totalnu protezu

Kada se potpuna mobilna proteza ne može dovoljno dobro pričvrstiti te otežava govor ili žvakanje, rješenje je proteza podupirana implantatima. Najmanje dva implantata (optimalno 4) postavljaju se u donju čeljust, dok je u gornju je potrebno ugraditi 4. Kada se implantati integriraju u kost (oseointegracija) mogu se spojiti prečkom ili se na njih mogu postaviti kuglaste spojnice. Na prečku ili spojnice stavlja se proteza koja im savršeno prianja. Tako postavljena proteza se uvijek može skinuti radi čišćenja, a više ne predstavlja rizik od ispadanja i neugodnih situacija.

Dogovorite pregled -

rezervirajte svoj termin

Ordinacija dentalne medicine dr. Josip Orešković, OIB:52007292597

U našoj ordinaciji nudimo sve vrste stomatoloških usluga s naglaskom na individualan pristup svakom pacijentu. 

Adresa

Dr. Franje Tuđmana 13, 34000 Požega

Broj telefona

Ordinacija dentalne medicine dr. Josip Orešković
034/275-089,
+385994436484

Radno vrijeme ordinacije

Ordinacija dentalne medicine dr. Josip Orešković
pon, sri 13:00 – 20:30
uto, čet i pet 07:00 – 14:30
radne subote po dogovoru

E-mail adrese

info@oreskovic-dental.hr
oreskovic.dental@yahoo.com

© 2021 Ordinacija dentalne medicine dr. Josip Orešković

Proudly designed & developed by KALLY

Start typing and press Enter to search

Shopping Cart